您当前位置是: 首页  新闻中心  本院动态
本院动态
【医疗工作】“小歪牙”的成长之路——齐医附属一院开展儿牙早矫
时间:2025-07-07    来源:附属一院    浏览:10

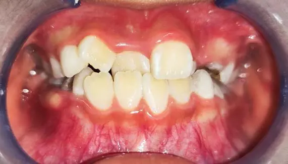
2024年秋天,8岁的小酒小朋友在妈妈的陪伴下来到齐医附属一院口腔二科,提出了想要矫正牙齿的诉求。“医生,快帮我们看看孩子的一口小歪牙该怎么办才好?”杨妈妈说孩子换牙后新牙长歪了,还兜齿,他们一家人很是犯愁,原本活泼开朗的小酒也不如以前爱笑了。

矫治前

经过医生的检查和拍片分析,诊断出小酒的个别牙反颌,上下颌牙弓狭窄、牙列拥挤,同时还有轻度的上颌骨发育不足和下颌骨发育过度。经过与杨妈妈的沟通,决定为小酒制作上颌扩弓+舌簧的活动矫治器进行替牙列期的早期矫治,将牙弓扩展到适宜宽度的同时能缓解一部分牙列拥挤的问题,配合舌簧解除个别前牙反颌。小酒的颧骨较平坦,经过医生的美学考虑和与家长的商议,决定不进行上颌前方牵引,避免造成外貌凸嘴的错觉。

经过两个月的扩弓,杨妈妈带孩子复诊时惊喜地说,原本藏在里面的上门牙竟然自己来到了前面。医生向她解释,这是因为扩弓使原本被挤在后面的牙齿得以舒展归位了。扩弓到位后,又经过几个月的推上前牙唇向移动,上下前牙解除了颌干扰,排列也更加整齐美观了。经过医生的考量和杨妈妈、杨小酒的一致同意,结束了为期半年的替牙列期早矫,医生为小酒重新留存了一组颌面照,这一次,小酒恢复了往日灿烂的笑容。

(从X光片及口内可见左上尖牙将异位萌出,阻碍侧切牙排齐,并且拥挤量过大无法完全靠扩弓解决,左上侧切牙的扭转及全口牙列拥挤待替牙完成后进行二期固定矫治排齐)



(临床中下颌扩弓的效果多不理想,因此只进行了上颌扩弓,下颌牙弓发生了相应改建)




科 室 简 介

齐齐哈尔医学院附属第一医院口腔二科现有医生6人,党员4人。是一支有朝气、有责任心,致力于为人民服务的年轻队伍。科室内医生各有专长,在口内、口外、修复、正畸、种植等二级学科领域中全面发展。近几年来,口腔二科在薛徽博士的带领下,以严谨务实、一丝不苟的工作态度,坚持“以患者为中心”的理念,以提高患者满意度为目标,从提高队伍整体素质出发,把服务质量当作头等大事,不断优化服务流程,树立了科室的良好形象。在医院2021年度命名表彰大会上,曾荣获“第二季优质服务——服务型先进集体”等荣誉称号。


科室联系电话:6880204


Copyright © 2018-2019 All Rights Reserved. 齐齐哈尔医学院附属第一医院版权所有
齐齐哈尔医学院附属第一医院信息室制作维护

登录掌上医院
网上预约挂号
省卫生健康委医疗乱象
行风举报平台微信二维码